07 ワイヤー
★各商品番号をクリックすると販売ページにとびます
メモリーアーチワイヤー ヒートアクチベーテッド

- 35℃で活性化
- 太めのラウンドワイヤーやレクトワイヤーも早い時期に使用可能
- 室温ではやわらかくワイヤー挿入が容易
*以下動画では、柔らかさ・温度による活性化の検証を行っています
| 上顎 | ||
| FormⅠ | FormⅢ | |
| .014 | A857-924W | A857-960IW |
| .016 | A857-926W | A857-961IW |
| .018 | A857-928W | A857-962IW |
| .014×.025 | A857-948W | A857-985IW |
| .016×.016 | A857-941W | A857-980IW |
| .016×.022 | A857-942W | A857-981IW |
| .016×.025 | A857-945W | |
| .017×.025 | A857-943W | A857-983IW |
| .0175×.0175 | A857-947W | A857-982IW |
| .018×.025 | A857-946W | |
| .019×.025 | A857-944W | A857-984IW |
| 下顎 | ||
| FormⅠ | FormⅢ | |
| .014 | A857-934W | A857-970IW |
| .016 | A857-936W | A857-971IW |
| .018 | A857-938W | A857-972IW |
| .014×.025 | A857-958W | A857-995IW |
| .016×.016 | A857-951W | A857-990IW |
| .016×.022 | A857-952W | A857-991IW |
| .016×.025 | A857-955W | |
| .017×.025 | A857-953W | A857-993IW |
| .0175×.0175 | A857-957W | A857-992IW |
| .018×.025 | A857-956W | |
| .019×.025 | A857-954W | A857-994IW |
TANZOワイヤー


- ニッケル(Ni)、チタン(Ti)、カッパー(Cu)の素材でできたワイヤーです。
- 口腔内温度で活性化し、弱い力で持続性のある力を歯牙に与え、患者様の痛みを軽減します。
- 「ミッドフォース」と「ローフォース」を選択できます。

- 従来のヒートアクチベートワイヤーと比較するとワイヤーの復元力が高く、永久変形しにくい特徴があります。
- 「ストップ付」もご用意しております。

>製品カタログPDFはこちらをご覧ください
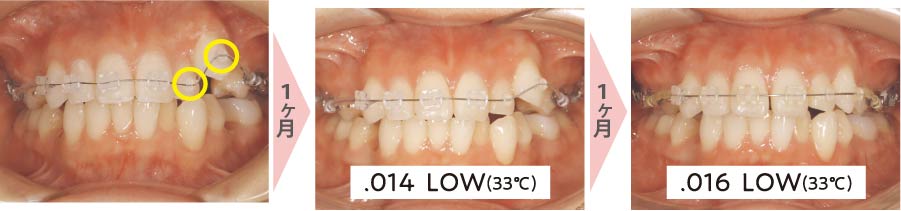
Tanzoを使用した前歯部のレベリング

写真提供:小川矯正歯科 小川晴也先生

叢生が重度な場合はユーティリティーボタンが有効です
*クリックすると該当箇所へ飛びます
TANZOワイヤー LOW Force(33°活性化)
TANZOワイヤー MID Force(27°活性化)
【内容量】10本/pk
全ワイヤーで使えるアーチストップ

【内容量】100個/pk
| ラウンドワイヤー用 .020 | A851-740 |
| レクトワイヤー用 .032 | A851-748 |
TANZOワイヤー LOW Force(33°活性化)
Form Ⅰ
TANZOワイヤー LOW Force(33°活性化)
Form Ⅲ
TANZOワイヤー LOW Force(33°活性化)
VLP
| LOW FORCE | |||
| 上下顎共通 | |||
![]() イージーパック |
![]() 個包装 |
||
| ストップ無 | ストップ無 | ストップ付 | |
| .013 | A833VX-13 | A833VX-13W | A833VX-13PSW |
| .014 | A833VX-14 | A833VX-14W | A833VX-14PSW |
| .016 | A833VX-16 | A833VX-16W | A833VX-16PSW |
| .018 | A833VX-18 | A833VX-18W | A833VX-18PSW |
| .014×.025 | A833VX-1425 | A833VX-1425W | A833VX-1425PSW |
| .016×.022 | A833VX-1622 | A833VX-1622W | A833VX-1622PSW |
| .016×.025 | A833VX-1625 | A833VX-1625W | A833VX-1625PSW |
| .017×.025 | A833VX-1725 | A833VX-1725W | A833VX-1725PSW |
| .018×.018 | A833VX-1818 | A833VX-1818W | A833VX-1818PSW |
| .018×.025 | A833VX-1825 | A833VX-1825W | A833VX-1825PSW |
| .019×.025 | A833VX-1925 | A833VX-1925W | A833VX-1925PSW |
| .020×.020 | A833VX-2020 | A833VX-2020W | A833VX-2020PSW |
TANZOワイヤー MID Force(27°活性化)
Form Ⅰ
TANZOワイヤー MID Force(27°活性化)
Form Ⅲ
TANZOワイヤー MID Force(27°活性化)
VLP
| MID FORCE | |||
| 上下顎共通 | |||
![]() イージーパック |
![]() 個包装 |
||
| ストップ無 | ストップ無 | ストップ付 | |
| .013 | A827VX-13 | A827VX-13W | A827VX-13PSW |
| .014 | A827VX-14 | A827VX-14W | A827VX-14PSW |
| .016 | A827VX-16 | A827VX-16W | A827VX-16PSW |
| .018 | A827VX-18 | A827VX-18W | A827VX-18PSW |
| .014×.025 | A827VX-1425 | A827VX-1425W | A827VX-1425PSW |
| .016×.022 | A827VX-1622 | A827VX-1622W | A827VX-1622PSW |
| .016×.025 | A827VX-1625 | A827VX-1625W | A827VX-1625PSW |
| .017×.025 | A827VX-1725 | A827VX-1725W | A827VX-1725PSW |
| .018×.018 | A827VX-1818 | A827VX-1818W | A827VX-1818PSW |
| .018×.025 | A827VX-1825 | A827VX-1825W | A827VX-1825PSW |
| .019×.025 | A827VX-1925 | A827VX-1925W | A827VX-1925PSW |
| .020×.020 | A827VX-2020 | A827VX-2020W | A827VX-2020PSW |
NT3ワイヤー(ニッケルチタニウム)

- スーパーエラスティックワイヤー
- 日本製の高品質NiTi素材を使用
- 永久変形への高い耐性
- 滑らかな表面の仕上げ
- 持続的なローディング・アンローディングフォース
- 高い品質管理により製造
>製品カタログPDFはこちらをご覧ください
NT3ワイヤー(ニッケルチタニウム)
Form Ⅰ
| 上顎 | ||
![]() イージーパック |
![]() 個包装 |
|
| .012 | A857-502 | A857-502W |
| .014 | A857-504 | A857-504W |
| .016 | A857-506 | A857-506W |
| .018 | A857-508 | A857-508W |
| .020 | A857-510 | A857-510W |
| .016×.016 | A857-540 | A857-540W |
| .016×.022 | A857-541 | A857-541W |
| .017×.025 | A857-537 | A857-537W |
| .018×.018 | A857-545 | A857-545W |
| .018×.025 | A857-542 | A857-542W |
| .019×.025 | A857-543 | A857-543W |
| .020×.020 | ||
| .021×.025 | A857-544 | A857-544W |
| 下顎 | ||
| .012 | A857-512 | A857-512W |
| .014 | A857-514 | A857-514W |
| .016 | A857-516 | A857-516W |
| .018 | A857-518 | A857-518W |
| .020 | A857-520 | A857-520W |
| .016×.016 | A857-550 | A857-550W |
| .016×.022 | A857-551 | A857-551W |
| .017×.025 | A857-547 | A857-547W |
| .018×.018 | A857-555 | A857-555W |
| .018×.025 | A857-552 | A857-552W |
| .019×.025 | A857-553 | A857-553W |
| .020×.020 | ||
| .021×.025 | A857-554 | A857-554W |
NT3ワイヤー(ニッケルチタニウム)
Form Ⅲ
| 上顎 | ||
![]() イージーパック |
![]() 個包装 |
|
| .012 | A857-702I | A857-702IW |
| .014 | A857-704I | A857-704IW |
| .016 | A857-706I | A857-706IW |
| .018 | A857-708I | A857-708IW |
| .020 | A857-710I | A857-710IW |
| .016×.016 | A857-731I | A857-731IW |
| .016×.022 | A857-732I | A857-732IW |
| .017×.025 | A857-733I | A857-733IW |
| .018×.018 | A857-734I | A857-734IW |
| .018×.025 | A857-735I | A857-735IW |
| .019×.025 | A857-736I | A857-736IW |
| .020×.020 | A857-738I | A857-738IW |
| .021×.025 | A857-737I | A857-737IW |
| 下顎 | ||
| .012 | A857-712I | A857-712IW |
| .014 | A857-714I | A857-714IW |
| .016 | A857-716I | A857-716IW |
| .018 | A857-718I | A857-718IW |
| .020 | A857-720I | A857-720IW |
| .016×.016 | A857-741I | A857-741IW |
| .016×.022 | A857-742I | A857-742IW |
| .017×.025 | A857-743I | A857-743IW |
| .018×.018 | A857-744I | A857-744IW |
| .018×.025 | A857-745I | A857-745IW |
| .019×.025 | A857-746I | A857-746IW |
| .020×.020 | A857-748I | A857-748IW |
| .021×.025 | A857-747I | A857-747IW |
NT3ワイヤー(ニッケルチタニウム)
VLP
| 上下顎共通 | ||
![]() イージーパック |
![]() 個包装 |
|
| .012 | A857-112 | A857-112W |
| .014 | A857-114 | A857-114W |
| .016 | A857-116 | A857-116W |
| .018 | A857-118 | A857-118W |
| .014×.025 | A857-120 | A857-120W |
| .016×.025 | A857-121 | A857-121W |
| .018×.018 | A857-122 | A857-122W |
| .018×.025 | A857-123 | A857-123W |
| .019×.025 | A857-124 | A857-124W |
| .020×.020 | A857-125 | A857-125W |
リバースカーブ/メモリーアーチワイヤー(ニッケルチタニウム)

*クリックすると該当箇所へ飛びます
【内容量】アーチワイヤー&ストレート 10本/pk / スプールタイプ:4.6m
リバースカーブ

| 上顎 | ||
![]() |
![]() ストレートレッグ |
|
| .014 | A857-604 | |
| .016 | A857-606 | A857-756 |
| .018 | A857-608 | A857-758 |
| .016×.022 | A857-610 | A857-771 |
| .017×.025 | A857-611 | A857-772 |
| .019×.025 | A857-612 | |
| 下顎 | ||
| .014 | A857-614 | |
| .016 | A857-616 | A857-766 |
| .018 | A857-618 | A857-768 |
| .016×.022 | A857-620 | A857-781 |
| .017×.025 | A857-621 | A857-782 |
| .019×.025 | A857-622 | |
メモリーアーチワイヤー Form Ⅱ

| 上顎 | |
| .012 | A857-702W |
| .014 | A857-704W |
| .016 | A857-706W |
| .018 | A857-708W |
| .020 | A857-710W |
| .016×.016 | A857-731W |
| .016×.022 | A857-732W |
| .017×.025 | A857-733W |
| .018×.018 | A857-734W |
| .018×.025 | A857-735W |
| .019×.025 | A857-736W |
| 下顎 | |
| .012 | A857-712W |
| .014 | A857-714W |
| .016 | A857-716W |
| .018 | A857-718W |
| .020 | A857-720W |
| .016×.016 | A857-741W |
| .016×.022 | A857-742W |
| .017×.025 | A857-743W |
| .018×.018 | A857-744W |
| .018×.025 | A857-745W |
| .019×.025 | A857-746W |
メモリーアーチワイヤー スプールタイプ

- プライヤー等でアーチフォームを作ることができます。
- リンガルテクニックでのレベリング用ワイヤーでも使用されます。

| 長さ:15フィート/4.6m | |
| .012 | A857-502C |
| .014 | A857-504C |
| .016 | A857-506C |
| .018 | A857-508C |
メモリーアーチワイヤー ストレートレングス

この7インチ(17.8cm)のストレートレングスの超弾性フォースⅠワイヤーはセクショナルワイヤーおよびその他オグジュアリーを作るために使用できます。
弾性が高いので、必要なフォームを形成するにはかなりのオーバーべンディングが必要です。
| 長さ:7インチ/17.8cm | |
| .016×.022 | A857-641 |
ベータチタニウムワイヤー

- 治療のどの段階で使用しても効果的なワイヤー
- 超弾性ニッケルチタニウムワイヤーとステンレスワイヤーの中間的な力を発揮
- ステンレスワイヤーの2倍のスプリングバックを持ち、形成しやすい素材
- ループベンディングを容易にするために長さをプラス
- ニッケルフリーなので金属アレルギー(ニッケル)の患者様にも対応可能
>製品カタログPDFはこちらをご覧ください
ベータチタニウムワイヤー
Form Ⅰ
| 上顎 | |
| .016 | A857-646 |
| .018 | A857-648 |
| .032 | |
| .036 | |
| .016×.016 | A857-1616AU |
| .016×.022 | A857-671 |
| .017×.025 | A857-672 |
| .0175×.0175 | A857-675 |
| .019×.025 | A857-674 |
| .021×.021 | A857-676 |
| .021×.025 | A857-677 |
| 下顎 | |
| .016 | A857-656 |
| .018 | A857-658 |
| .016×.016 | A857-1616AL |
| .016×.022 | A857-681 |
| .017×.025 | A857-682 |
| .0175×.0175 | A857-685 |
| .019×.025 | A857-684 |
| .021×.021 | A857-686 |
| .021×.025 | A857-687 |
ベータチタニウムワイヤー
Form Ⅲ
※こちらのFormは取り寄せ商品となります(納期約1ヶ月)
| 上顎 | |
| .016 | A857-646I |
| .018 | A857-648I |
| .032 | |
| .036 | |
| .016×.016 | |
| .016×.022 | A857-671I |
| .017×.025 | A857-672I |
| .0175×.0175 | A857-675I |
| .018×.025 | A857-673ISP |
| .019×.025 | A857-674I |
| .021×.021 | A857-676I |
| .021×.025 | A857-677I |
| 下顎 | |
| .016 | A857-656I |
| .018 | A857-658I |
| .016×.016 | |
| .016×.022 | A857-681I |
| .017×.025 | A857-682I |
| .0175×.0175 | A857-685I |
| .018×.025 | A857-683ISP |
| .019×.025 | A857-684I |
| .021×.021 | A857-686I |
| .021×.025 | A857-687I |
ベータチタニウムワイヤー
ストレート
| 長さ:14インチ/35.6cm | |
| .016 | A857-646ST |
| .018 | A857-648ST |
| .032 | A857-692 |
| .036 | A857-696 |
| .016×.016 | A857-1616ST |
| .016×.022 | A857-671ST |
| .017×.025 | A857-672ST |
| .0175×.0175 | A857-175ST |
| .019×.025 | A857-674ST |
| .021×.021 | |
| .021×.025 | |
コバルトクロム合金ワイヤー マルタイフェイズ

コバルトクロームワイヤー マルタイフェイズ
ボンウィルホーレー
| 上顎 | |
| .016×.016 | A854-801 |
| .016×.022 | A854-802 |
| .017×.025 | A854-806 |
| .018×.022 | A854-808 |
| .021×.025 | |
| 下顎 | |
| .016×.016 | A854-821 |
| .016×.022 | A854-822 |
| .017×.025 | A854-826 |
コバルトクロームワイヤー マルタイフェイズ
ストレート

| 長さ:14インチ/35.6cm | |
| .016×.016 | A854-701 |
| .016×.022 | A854-702 |
| .017×.025 | A854-706 |
| .018×.022 | A854-708 |
| .018×.025 | A854-709 |
ステンレスワイヤー

ステンレスワイヤー
Form Ⅰ
| 上顎 | ||
![]() イージーパック |
![]() 個包装 |
|
| .012 | A853-232 | A853-232W |
| .014 | A853-234 | A853-234W |
| .016 | A853-236 | A853-236W |
| .018 | A853-238 | A853-238W |
| .020 | A853-240 | A853-240W |
| 内容量 | 50本/pk | 10本/pk |
| |
|
|
| .016×.016 | A853-200 | A853-200W |
| .016×.022 | A853-201 | A853-201W |
| .017×.025 | A853-204 | A853-204W |
| .018×.018 | A853-209 | A853-209W |
| .018×.022 | A853-205 | A853-205W |
| .018×.025 | A853-206 | A853-206W |
| .019×.025 | A853-207 | A853-207W |
| .021×.025 | A853-208 | A853-208W |
| 内容量 | 10本/pk | 10本/pk |
| 下顎 | ||
| .012 | A853-242 | A853-242W |
| .014 | A853-244 | A853-244W |
| .016 | A853-246 | A853-246W |
| .018 | A853-248 | A853-248W |
| .020 | A853-250 | A853-250W |
| 内容量 | 50本/pk | 10本/pk |
| |
|
|
| .013×.015 | A853-222 | A853-222W |
| .016×.016 | A853-210 | A853-210W |
| .016×.022 | A853-221 | A853-221W |
| .017×.025 | A853-224 | A853-224W |
| .018×.018 | A853-229 | A853-229W |
| .018×.022 | A853-225 | A853-225W |
| .018×.025 | A853-226 | A853-226W |
| .019×.025 | A853-227 | A853-227W |
| .021×.025 | A853-228 | A853-228W |
| 内容量 | 10本/pk | 10本/pk |
ステンレスワイヤー
Form Ⅱ
| 上顎 | |
![]() イージーパック |
|
| .014 | A853-334 |
| .016 | A853-336 |
| .018 | A853-338 |
| .020 | A853-340 |
| 内容量 | 50本/pk |
| |
|
| .016×.016 | A853-371 |
| .016×.022 | A853-372 |
| .017×.025 | A853-373 |
| .018×.018 | A853-374 |
| .018×.025 | A853-375 |
| .019×.025 | A853-376 |
| .021×.025 | A853-377 |
| 内容量 | 10本/pk |
| 下顎 | |
| .014 | A853-344 |
| .016 | A853-346 |
| .018 | A853-348 |
| .020 | A853-350 |
| 内容量 | 50本/pk |
| |
|
| .016×.016 | A853-381 |
| .016×.022 | A853-382 |
| .017×.025 | A853-383 |
| .018×.025 | A853-385 |
| .019×.025 | A853-386 |
| .021×.025 | A853-387 |
| 内容量 | 10本/pk |
ステンレスワイヤー
Form Ⅲ
| 上顎 | ||
![]() イージーパック |
![]() 個包装 |
|
| .014 | A853-334I | A853-334IW |
| .016 | A853-336I | A853-336IW |
| .018 | A853-338I | A853-338IW |
| .020 | A853-340I | A853-340IW |
| 内容量 | 50本/pk | 10本/pk |
| |
|
|
| .016×.016 | A853-371I | A853-371IW |
| .016×.022 | A853-372I | A853-372IW |
| .017×.025 | A853-373I | A853-373IW |
| .018×.018 | A853-374I | A853-374IW |
| .018×.025 | A853-375I | A853-375IW |
| .019×.025 | A853-376I | A853-376IW |
| .021×.025 | A853-377I | A853-377IW |
| 内容量 | 10本/pk | 10本/pk |
| 下顎 | ||
| .014 | A853-344I | A853-344IW |
| .016 | A853-346I | A853-346IW |
| .018 | A853-348I | A853-348IW |
| .020 | A853-350I | A853-350IW |
| 内容量 | 50本/pk | 10本/pk |
| |
|
|
| .016×.016 | A853-381I | A853-381IW |
| .016×.022 | A853-382I | A853-382IW |
| .017×.025 | A853-383I | A853-383IW |
| .018×.018 | A853-384I | A853-384IW |
| .018×.025 | A853-385I | A853-385IW |
| .019×.025 | A853-386I | A853-386IW |
| .021×.025 | A853-387I | A853-387IW |
| 内容量 | 10本/pk | 10本/pk |
ステンレスワイヤー
ボンウィルホーレーアーチ

| 上顎 | ||
| ゴールドトーン | ||
| .012 | A853-312 | |
| .014 | A853-314 | |
| .016 | A853-316 | |
| .018 | A853-318 | |
| .020 | A853-320 | |
| 内容量 | 100本/pk | |
| |
|
|
| .016×.016 | A853-701 | A853-801 |
| .016×.022 | A853-702 | A853-802 |
| .017×.017 | A853-704 | |
| .017×.022 | A853-705 | A853-805 |
| .017×.025 | A853-706 | A853-806 |
| .018×.022 | A853-708 | A853-808 |
| .018×.025 | A853-709 | A853-809 |
| .019×.025 | A853-711 | A853-811 |
| .021×.025 | ||
| 内容量 | 10本/pk | 10本/pk |
| 下顎 | ||
| .012 | ||
| .014 | A853-414 | |
| .016 | A853-416 | |
| .018 | A853-418 | |
| .020 | A853-420 | |
| 内容量 | 100本/pk | |
| |
|
|
| .014×.018 | A853-738 | A853-838 |
| .015×.020 | A853-840 | |
| .016×.016 | A853-721 | A853-821 |
| .016×.022 | A853-722 | A853-822 |
| .017×.017 | A853-724 | A853-824 |
| .017×.022 | A853-725 | A853-825 |
| .017×.025 | A853-726 | A853-826 |
| .018×.022 | A853-728 | A853-828 |
| .018×.025 | A853-729 | A853-829 |
| .019×.025 | A853-731 | A853-831 |
| .021×.025 | A853-834 | |
| 内容量 | 10本/pk | 10本/pk |
ステンレスワイヤー
ストレート

| 長さ:14インチ/35.6cm | ||
| スタンダード | ゴールドトーン | |
| .012 | A856-612 | A857-012 |
| .014 | A856-614 | A857-014 |
| .015 | A856-615 | |
| .016 | A856-616 | A857-016 |
| .018 | A856-618 | A857-018 |
| .020 | A856-620 | |
| .022 | A856-622 | |
| .024 | A856-624 | |
| .025 | A856-625 | |
| .026 | A856-626 | |
| .028 | A856-628 | |
| .030 | A856-630 | |
| .032 | A856-632 | |
| .036 | A856-636 | |
| .040 | A856-640 | |
| .045 | A856-645 | |
| .051 | A856-651 | |
| .055 | A856-655 | |
| 内容量 | 10本/pk | 10本/pk |
| |
|
|
| .016×.016 | A856-001 | |
| .016×.022 | A856-002 | A856-022 |
| .017×.017 | A856-004 | |
| .017×.022 | A856-005 | |
| .017×.025 | A856-006 | A856-026 |
| .018×.022 | A856-008 | |
| .018×.025 | A856-009 | A856-029 |
| .019×.025 | A856-011 | A856-031 |
| .021×.025 | A856-014 | |
| .0215×.028 | A856-015 | |
| 内容量 | 10本/pk | 10本/pk |
アイコニックス(ロジウムコーティング)
![]()
- アイコニックスはロジウムコーティングされた白に近いNiTiワイヤー
- ブラッシングしてもコーティングが剥がれないため審美的
- ワイヤー表面が滑沢なため、フリクションの小さい治療が可能
>製品カタログPDFはこちらをご覧ください
アイコニックス
Form Ⅰ
| 上顎 | |
| .012 | A857-1U-12WR |
| .014 | A857-1U-14WR |
| .016 | A857-1U-16WR |
| .018 | A857-1U-18WR |
| .014 × .025 | |
| .016 × .016 | A857-1U-1616WR |
| .016 × .022 | A857-1U-1622WR |
| .017×.025 | A857-1U-1725WR |
| .018×.025 | A857-1U-1825WR |
| .019×.025 | A857-1U-1925WR |
| .020×.020 | A857-1U-2020WR |
| 下顎 | |
| .012 | A857-1L-12WR |
| .014 | A857-1L-14WR |
| .016 | A857-1L-16WR |
| .018 | A857-1L-18WR |
| .014×.025 | |
| .016×.016 | A857-1L-1616WR |
| .016×.022 | A857-1L-1622WR |
| .017×.025 | A857-1L-1725WR |
| .018×.025 | A857-1L-1825WR |
| .019×.025 | A857-1L-1925WR |
| .020×.020 | A857-1L-2020WR |
アイコニックス
Form Ⅲ
| 上顎 | |
| .012 | A857-3U-12WR |
| .014 | A857-3U-14WR |
| .016 | A857-3U-16WR |
| .018 | A857-3U-18WR |
| .014×.025 | A857-3U-1425WR |
| .016×.016 | A857-3U-1616WR |
| .016×.022 | A857-3U-1622WR |
| .017×.025 | A857-3U-1725WR |
| .018×.025 | A857-3U-1825WR |
| .019×.025 | A857-3U-1925WR |
| .020×.020 | A857-3U-2020WR |
| 下顎 | |
| .012 | A857-3L-12WR |
| .014 | A857-3L-14WR |
| .016 | A857-3L-16WR |
| .018 | A857-3L-18WR |
| .014×.025 | A857-3L-1425WR |
| .016×.016 | A857-3L-1616WR |
| .016×.022 | A857-3L-1622WR |
| .017×.025 | A857-3L-1725WR |
| .018×.025 | A857-3L-1825WR |
| .019×.025 | A857-3L-1925WR |
| .020×.020 | A857-3L-2020WR |
アイコニックス
VLP
| 上下顎共通 | |
| .012 | A857-VX-12WR |
| .014 | A857-VX-14WR |
| .016 | A857-VX-16WR |
| .018 | A857-VX-18WR |
| .014×.025 | A857-VX-1425WR |
| .016×.016 | A857-VX-1616WR |
| .016×.022 | A857-VX-1622WR |
| .018×.025 | A857-VX-1825WR |
| .019×.025 | A857-VX-1925WR |
| .020×.020 | A857-VX-2020WR |
リガチャーワイヤー(トゥースカラー)

- プライヤーで結紮しても剥がれにくい!
- ワイヤーのしっかりとしたコシ!
- 白すぎないので歯に馴染む!
| サイズ | |
| .012 | A855-619 |
【内容量】100本/pk
コバヤシフック(ツイストトゥースカラー)

| サイズ | |
| .014 | A855-637 |
【内容量】100本/pk
マルチストランドワイヤー
ツイスト

- 3本縒りのワイヤーでスプリングバックの力が強く、楽に形成できます
- 切り口がばらばらになったり、ほつれる心配もありません
- レベリングなど初期段階での使用に適しています
【内容量】10本/pk
| ボンウィルホーレー | ストレート | |
| 上下顎共通 | 長さ:15インチ(38.1cm) | |
| .015 | A857-215 | A853-SL-315 |
| .0175 | A857-217 | A853-SL-3175 |
| .0195 | A857-219 | A853-SL-3195 |
| .0215 | A857-221 | A853-SL-3215 |
| .016×.016 | A857-232 | |
| .016×.022 | A857-234 | |
| .017×.025 | A857-236 | |
| .018×.022 | A857-235 | |
| .018×.025 | A857-237 |
マルチストランドワイヤー
コアックス

- 6本縒りのワイヤーで鋭角に曲げることができます
- 一定のやわらかな力を発揮するためレベリングに適しています
- フィックスリテーナーとしてご使用されるケースが多いワイヤーです
【内容量】10本/pk
| Form Ⅰ | ストレート | |
| 上下顎共通 | 長さ:14インチ(35.6cm) | |
| .015 | A857-415 | A853-SL-615 |
| .0175 | A857-417 | A853-SL-6175 |
| .0195 | A857-419 | A853-SL-6195 |
| .0215 | A857-421 | A853-SL-6215 |
マルチストランドワイヤー
ストレートウーベン

- 高弾性で変形しにくい8本縒りの角型ワイヤーです
- 通常のステンレススチールワイヤーよりも少しやわらかく、治療最終段階での“セットリング”アーチとしても使用できます。
【内容量】10本/pk
| Form Ⅰ | |
| 上下顎共通 | |
| .016×.016 | A857-901 |
| .016×.022 | A857-902 |
| .017×.025 | A857-903 |
| .018×.025 | A857-904 |
| .019×.025 | A857-905 |
| .021×.025 | A857-907 |
フラットリンガルリテーナー
(ステンレススチール)

- 曲げやすく歯面にフィットさせやすいフラット形状のワイヤー
- ワイヤーのエッジが波状のためレジンが付きやすいです
ストレートタイプ(長さ:約15cm)

【内容量】10本/pk
| サイズ | 商品番号 |
| .010 x .029 | A856-SL-1029 |
| .010 x .032 | A856-SL-1032 |
スプールタイプ(長さ:約152cm)

【内容量】1個/pk
| サイズ | 商品番号 |
| .010 x .029 | A856-SP-1029 |
| .010 x .032 | A856-SP-1032 |
ニッケルチタニウムスプリング
オープンタイプ

スプールタイプ(長さ:15インチ/38.1cm)
【内容量】1個/pk
| 線径/内径 | 力 | |
| .010×.030 | 50gf | A855-170C |
| .010×.036 | 40gf | A855-171C |
クローズドタイプ(アイレット付)

【内容量】10本/pk
| 線径/内径 | 力 | 長さ | ||
| みかんタイプ | .010×.030 | 100gf | 6mm | A855-179 |
| 100gf | 9mm | A855-180 | ||
| 100gf | 12mm | A855-181 |

【内容量】10本/pk
| 力 | 長さ | ||
| りんごタイプ | 50gf | 13mm | A855-184 |
| 125gf | 13mm | A855-185 | |
| 洋なしタイプ | 50gf | 12mm | A855-186 |
| 125gf | 12mm | A855-187 |
ディスタライジングスプリング

ストレートタイプ(長さ:7インチ/17.8cm)
【内容量】3本/pk
| 線径/内径 | 力 | ||
| Light | .010×.045 | 25gf | A855-173 |
| Medium | .010×.035 | 50gf | A855-174 |
| Heavy | .010×.030 | 75gf | A855-175 |
スプールタイプ(長さ:15インチ/38.1cm)
【内容量】1個/pk
| 線径/内径 | 力 | ||
| Light | .010×.045 | 25gf | A855-173C |
| Medium | .010×.035 | 50gf | A855-174C |
| Heavy | .010×.030 | 75gf | A855-175C |
リガチャーワイヤー
コバヤシフック

![]() スタンダード |
![]() ツイスト |
![]() ツイストトゥースカラー |
|
| .012 | A855-634 | ||
| .014 | A855-635 | A855-636 | A855-637 |
| 内容量 | 100本/pk | 100本/pk | 100本/pk |
リガチャーワイヤー

![]() プリフォームド |
![]() プリフォームドトゥースカラー |
![]() ツイスト |
|
| .009 | A855-620 | ||
| .010 | A855-621 | A855-628 | |
| .011 | A855-622 | ||
| .012 | A855-623 | A855-619 | |
| 内容量 | 1,000本/pk | 100本/pk | 1,000本/pk |
アーチワイヤースリーブ

- ワイヤーに被覆することで粘膜保護と痛みを軽減します

長さ:3.05m
【内容量】1個/pk
| 色 | 商品番号 |
| クリア | A854-035501 |
| グレー | A854-540 |
※グレーは取り寄せ商品となります(納期約3週間)
アーチフォーム

- 【商品コード】A8271L-13
- 【JAN】4582416282448
Tanzoワイヤー Form1 013 L MF
| 内容量 |
10本/PK
|
|---|---|
| トルク |
|
| アンギュレーション |
|
| ローテーション |
|
| 医薬機器販売名 |
Tanzoワイヤー
|
| 薬事届出番号 |
管理 認証番号226AGBZX00072000
|
- 【商品コード】A8271L-13PSW
- 【JAN】4560231791215
Tanzoワイヤー Form1 013 L MF ストップ付
| 内容量 |
10本/PK
|
|---|---|
| トルク |
|
| アンギュレーション |
|
| ローテーション |
|
| 医薬機器販売名 |
Tanzoワイヤー
|
| 薬事届出番号 |
管理 認証番号226AGBZX00072000
|
- 【商品コード】A8271L-13W
- 【JAN】4560231791758
Tanzoワイヤー Form1 013 L MF
| 内容量 |
10本/PK
|
|---|---|
| トルク |
|
| アンギュレーション |
|
| ローテーション |
|
| 医薬機器販売名 |
Tanzoワイヤー
|
| 薬事届出番号 |
管理 認証番号226AGBZX00072000
|
- 【商品コード】A8271L-14
- 【JAN】4582416282462
Tanzoワイヤー Form1 014 L MF
| 内容量 |
10本/PK
|
|---|---|
| トルク |
|
| アンギュレーション |
|
| ローテーション |
|
| 医薬機器販売名 |
Tanzoワイヤー
|
| 薬事届出番号 |
管理 認証番号226AGBZX00072000
|
- 【商品コード】A8271L-1425
- 【JAN】4582416282455
Tanzoワイヤー Form1 014X025 L MF
| 内容量 |
10本/PK
|
|---|---|
| トルク |
|
| アンギュレーション |
|
| ローテーション |
|
| 医薬機器販売名 |
Tanzoワイヤー
|
| 薬事届出番号 |
管理 認証番号226AGBZX00072000
|
- 【商品コード】A8271L-1425PSW
- 【JAN】4560231791253
Tanzoワイヤー Form1 014X025 L MF ストップ付
| 内容量 |
10本/PK
|
|---|---|
| トルク |
|
| アンギュレーション |
|
| ローテーション |
|
| 医薬機器販売名 |
Tanzoワイヤー
|
| 薬事届出番号 |
管理 認証番号226AGBZX00072000
|
- 【商品コード】A8271L-1425W
- 【JAN】4560231791796
Tanzoワイヤー Form1 014X025 L MF
| 内容量 |
10本/PK
|
|---|---|
| トルク |
|
| アンギュレーション |
|
| ローテーション |
|
| 医薬機器販売名 |
Tanzoワイヤー
|
| 薬事届出番号 |
管理 認証番号226AGBZX00072000
|
- 【商品コード】A8271L-14PSW
- 【JAN】4560231791222
Tanzoワイヤー Form1 014 L MF ストップ付
| 内容量 |
10本/PK
|
|---|---|
| トルク |
|
| アンギュレーション |
|
| ローテーション |
|
| 医薬機器販売名 |
Tanzoワイヤー
|
| 薬事届出番号 |
管理 認証番号226AGBZX00072000
|
- 【商品コード】A8271L-14W
- 【JAN】4560231791765
Tanzoワイヤー Form1 014 L MF
| 内容量 |
10本/PK
|
|---|---|
| トルク |
|
| アンギュレーション |
|
| ローテーション |
|
| 医薬機器販売名 |
Tanzoワイヤー
|
| 薬事届出番号 |
管理 認証番号226AGBZX00072000
|
- 【商品コード】A8271L-16
- 【JAN】4582416282509
Tanzoワイヤー Form1 016 L MF
| 内容量 |
10本/PK
|
|---|---|
| トルク |
|
| アンギュレーション |
|
| ローテーション |
|
| 医薬機器販売名 |
Tanzoワイヤー
|
| 薬事届出番号 |
管理 認証番号226AGBZX00072000
|















